Im Bereich des Kiefergelenkes und der umliegenden Muskulatur kann es unter anderem zu folgenden Veränderungen kommen :

 

1. Geräusche des Kiefergelenke :

    Ein schmerzfreies Knacken oder Reiben der Kiefergelenke wird heute als in der Regel nicht

    therapiebedürftige Normvariante aufgefasst. Nur wenn das Geräusch die Folge eines Schlages

    oder Unfalls ist, sollte es baldmöglichst therapiert werden. Insbesondere seit langem bestehende

    Gelenkgeräusche sind jedoch in den meisten Fällen nicht behandelbar.  

 

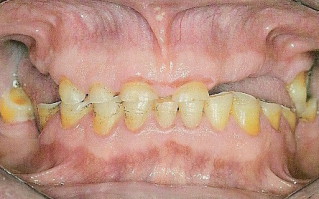
2. Abrieb der Zähne :

    Bei jedem Menschen reiben - so wie bei anderen Lebewesen auch - die Zähne im Laufe des 

    Lebens ab. Wir müssen deshalb vergleichen, ob der Abrieb altersgemäß ist oder ob wie auf den

    unten abgebildeten Fällen die Zähne zu große Abrasionen aufweisen.

    Abrasionen der Milchzähne bei Kindern bedürfen in der Regel keiner Therapie. 

 

3. Röntgenologisch sichtbare Abnutzungsspuren im Bereich des Knochens der Kiefergelenke :

    Auch an den knöchernen Anteilen des Kiefergelenkes treten Veränderungen auf, die    

    röntgenologisch sichtbar sind. Diese Veränderungen treten bei fast allen Menschen mit

    zunehmendem Alter auf - in den weit überwiegenden Fällen ohne dass es jemals

    zu Beschwerden kommt. Insbesondere auf Grund der hohen Strahlenbelastung sollte bei 

    Beschwerdefreiheit auf die Anfertigung von Röntgenbildern eigens zur Kiefergelenksdiagnostik 

    verzichtet werden.

 

Sollte jede dieser Veränderungen behandelt werden ?

 

nein, keinesfalls.

Da es im Laufe des Lebens zwangsläufig vor allem zu einem Abrieb der Zähne und zu röntgenologisch sichtbaren Veränderungen kommt, muss eine Beurteilung erfolgen, ob der Zustand der Zähne zu dem Lebensalter passt.

 

Was sollte denn behandelt werden ?

 

Neben dem beschriebenen starken Abrieb der Zähne also den Abrasionen muss bei Menschen, die nachts stark mit den Zähnen knirschen eine Therapie erwogen werden.

Darüber hinaus sind alle Formen von Schmerzen im Bereich der Kiefergelenke und der Kaumuskulatur therapiebedürftig.

 

Wie sieht die Behandlung aus ?

 

Neben der Aufklärung wird eine sogenannte " Schiene " angefertigt wie Sie weiter unten auf dem Foto eine sehen. Es handelt sich dabei um eine kleine Kunststoffplatte, die von einem Zahntechniker individuell hergestellt wird. Diese Schiene wird meist nur nachts getragen 

( Stabilisierungsschiene, Michigan-Schiene ) 

Zusätzlich kann die Mitbehandlung durch einen Physiotherapeuten sinnvoll sein.

Wir arbeiten hier mit externen Therapeuten zusammen, die auf diesem Gebiet über eine langjährige Erfahrung verfügen.

 

Kiefergelenk und Ohrgeräusche ( Tinnitus )

 

Der genaue Zusammenhang zwischen Kiefergelenkschmerzen und Ohrgeräuschen - Tinnitus - ist weiterhin ungeklärt.

Statistisch gesehen leiden Menschen mit Ohrgeräuschen häufiger unter druckschmerzhafter Kaumuskulatur und Beschwerden im Kiefergelenk. Es ist aber überhaupt nicht klar, was hier Ursache oder Folge ist. Nur in sehr sehr seltenen Fällen sollen Ohrgeräusche nach zahnärztlicher Behandlung zurückgegangen sein.

extremes Abrasionsgebiss

Kiefergelenksschiene